0887 599 268, 02 850 2176
0887 599 268, 02 850 2176

Чернодробна стеатоза – какви са вредите, които нанася това заболяване?

Мазен черен дроб се среща много често при хора с наднормено тегло и над 30-годишна възраст


Чернодробна стеатоза
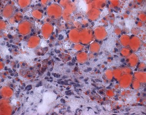
Чернодробната стеатоза се изразява във високо съдържание на мазнини и нормалната здрава тъкан на черния дроб е частично заменена с области, изпълнени с нездравословни мазнини. В такъв черния дроб, чернодробните клетки и пространствата в черния дроб са пълни с мазнини. Така черния дроб става леко разширен и по-тежък. Черният дроб е с жълт мазен вид. Възможно е да има дискомфорт на черния дроб, който се намира в горната дясна част на коремната област. Може да има камъни в жлъчката, съставени от холестерол и жлъчни соли. Често е възможно излишните мазнини в черния дроб да се видят с ултразвуково изследване на черния дроб. Може да има и повишаване на чернодробните ензими.
Чернодробната дисфункция е много чест и все по-голям проблем.
Здравият черен дроб е много по-червен на цвят и е с еднаква текстура. Ако нарежем черния дроб на малки филийки и ги увеличим милиони пъти ще видим, че там има места, които са с червено-розов цвят, защото са пълни с кръв. Тъй като кръвта тече през пространствата на чернодробните клетки, те са тези, които премахват токсините, мъртвите клетки, микроорганизмите и мазнини от кръвния поток. По този начин ние наричаме черен дроб филтъра за почистване на кръвния поток. Ако пространствата в черния дроб са пълни с мазнини, то няма да може да се извърши процеса на филтриране. По този начин кръвния поток ще се претовари с токсини и мазнини. Най-добре е да работи за обръщане на този проблем, тъй като ако не бъде овладян, увредената функция на черния дроб може да доведе до допълнителни проблеми, като автоимунни заболявания и диабет тип 2.

Поръчайте

___________________250x305.png
Поръчайте сега на
02 850 21 76 или 0887 599 268
 

Капки Хепавитал - за поддържане нормалното състояние на черния дроб и жлъчката, и усвояване на мазнините.

Купете 2 опаковки Хепавитал на промоционална цена от 73лв и ползвайте отстъпка от 10лв с БЕЗПЛАТНА ДОСТАВКА

Можете да закупите Хепавитал и от нашите аптеки в цялата страна, адресите вижте ТУК

ПОРЪЧАЙТЕ