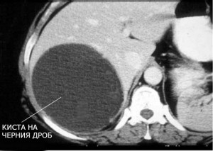
Чернодробната киста е кухина, пълна с течност в тялото

Почти 1% от хора имат това заболяване. Освен това, жените са малко по-склонни да страдат от чернодробна киста. Според статистиката, киста на черния дроб се появява при хората от 30 до 50 години.
Чернодробната киста е доброкачествен образование. В повечето случаи кистите са пълни с бистра течност, която няма мирис или вкус. Много по-малко вероятно да се случи кистата да съдържа желеобразна маса с тъмно зелен цвят.
Кистите могат да бъдат разположени в различни сегменти и дялове на черния дроб, да бъдат на повърхността и в дълбочина. Диаметърът на кистите може да достигне до 25 см, рядко се случва, но се срещат кисти с дори по-големи размери. Допустимо е и киста да се появява на фона на други заболявания като: цироза на черния дроб, камъни в жлъчката, поликистоза на бъбреците, поликистозни яйчникови кисти, кисти на жлъчните пътища и други.
Чернодробните кисти са разделени на паразитни и без паразитни кисти на черния дроб.
Непаразитните
кисти на черния дроб се делят на истински и фалшиви кисти. Истинските кисти могат да се появят, ако все още в утробата не се свързват отделни жлъчните канали на системата на жлъчните пътища. Установява се чрез ултразвук или компютърна томография на черния дроб на случаен принцип.
Причини за възникване на фалшивите кисти на черния дроб е травматично разкъсване на тялото. Фалшиви кисти често се появяват след лечение на чернодробни абсцеси, отстраняване на ехинококоза.
Хепавитал са капки за прочистване на черния дроб и жлъчката. Приемат се два пъти дневно по 40 капки преди хранене. Цената на една доза е 39 лв. За повече информация : 02 850 21 76 и 0887 599 268, www.hepavital.com или на имейл hepavital@gmail.com